КП «Лікарня №2 ім. В.П. Павлусенка» візьме кредит на придбання нового ангіографа та реконструкцію приміщення, де буде встановлено обладнання.
Відповідний дозвіл надали депутати 23 травня під час позачергової сесії Житомирської міської ради.
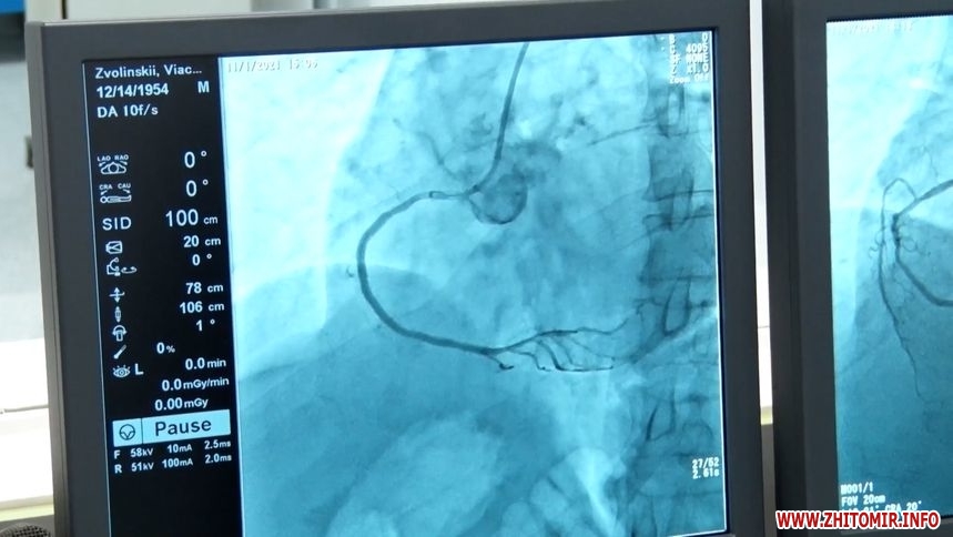
«Саме дозвіл лікарні на взяття кредиту до 57 млн грн, також виділено 10 млн грн з міського бюджету на перший внесок. З 2021 року у нас вже працює ангіограф у лікарні №2, він зараз завантажений практично 24/7. Виникла необхідність у придбанні другого ангіографа, тому що у 2023 році ми відкрили нейрохірургічне відділення, яке потребує такого обладнання. До місяця у нас є черга, якщо потрібно пройти планове обстеження. Бо інколи виникають такі ситуація, як декілька тижнів тому: у нас була дитина 15 років, якій була надана нейрохірургічна допомога за допомоги ангіографа і дитина врятована», – говорить заступниця Житомирського міського голови Марія Місюрова.
Погасити кредит комунальне підприємство має протягом 36 місяців.
«У нас розрахований договір на три роки, лікарня буде в змозі платити заробляючи й отримуючи кошти від Національної служби здоров'я України. Зараз будуть закінчені всі рішення сесії, підписані папери, і лікарня повністю включається в роботу. Маємо надію, що за 3-4 місяці встановлять обладнання і будемо допомагати нашим пацієнтам», – каже заступниця Житомирського міського голови.
Нагадаємо, на позачерговій сесії Житомирської міської ради 20 лютого 2020 року виділили 13,46 млн грн з міського бюджету для співфінансування купівлі у лізинг ангіографа, який функціонуватиме на базі КП «Лікарні №2 ім. В. П.Павлусенка». З 25 жовтня 2021 року нове обладнання почали використовувати для діагностики та лікування, зокрема, за тиждень в лікарні №2 провели 14 коронарографій і 3 стентування.
Як повідомляв Житомир.info, в березні 2024 року УКБ провело тендер на реконструкцію операційного блоку хірургічного корпусу КП «Лікарня № 2 ім. В.П. Павлусенка» з очікуваною вартістю 27,8 млн грн: переможцем стала ПРБФ «Комунальник» з пропозицією 24,3 млн грн, але договір станом на 21 травня не підписаний, роботи мають бути виконані до 31 березня 2025 року.




















