У 2024 році КП «Лікарня №2 імені В.П. Павлусенка» придбало новий ангіограф вартістю близько 51 млн грн, з яких 10 млн грн виділили з бюджету Житомирської громади. Нове обладнання мало запрацювали на початку 2025 року, проте його досі не встановили.
Чому терміни змінилися та коли запрацює ангіографічне обладнання 31 березня дізнавалися журналісти Житомир.info.
«Процедура могла затягнутися через інженерів, тому що в них були зауваження до приміщення. Щоб вони могли встановити обладнання, потрібно було змінити деякі моменти. Сьогодні розмовляли з інженерами, які будуть встановлювати ангіограф, вони сказали, що сьогодні привезуть своє обладнання для встановлення, а 1 квітня, почнуть роботи зі встановлення», – каже заступник директора з технічних питань КП «Лікарня №2 ім. В.П. Павлусенка» Житомирської міської ради Владислав Дубчак.
У приміщенні, де буде встановлений новий ангіограф, вже завершили ремонт. Залишилося лише встановити обладнання, як кажуть у лікарні, це займе не більше двох тижнів, однак запрацює воно лише після сертифікації.
«Два тижні піде на встановлення, потім обладнання потрібно налагодити. Після того, як все буде готово, потрібно, щоб ангіограф пройшов сертифікацію, це роблять не в Житомирі, а філія київської організації. Все залежить від них, це може бути, як місяць, так і три місяці. Надіємося, що до середини літа апарат буде працювати», – сказав заступник директора з технічних питань КП «Лікарня №2 ім. В.П. Павлусенка» Житомирської міської ради.
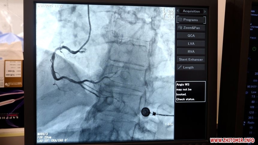
У лікарні працює ангіограф, який придбали у 2021 році, його використовують для діагностики та оперативних втручань. Завідувач кардіологічного центру пояснює, що одного апарату для їх пацієнтів замало.
«Буває, що хворі, які лежать в стаціонарі чекають 7-10 днів, також є хворі, які чекають госпіталізації, це може тривати декілька тижнів. Лікарня має контракти на надання допомоги хворим на мозковий інсульт та інфаркт міокарда, звичайно, це входить у безоплатний пакет, цих хворих ми обслуговуємо абсолютно безоплатно», – розповідає завідувач кардіологічного центру КП «Лікарня №2 ім. В.П. Павлусенка» Житомирської міської ради Олесь Кутній.
Нагадаємо, 8 листопада пресслужба Житомирської міської ради повідомляла, що у КП «Лікарня №2 імені В.П. Павлусенка» Житомирської міської ради з’явився ще один ангіограф. Придбати, встановити обладнання та завершити реконструкцію приміщення мали до кінця 2024 року.
12 листопада 2024 року завідувач кардіологічного центру КП «Лікарня №2 ім. В.П. Павлусенка» розповів журналістам Житомир.info, що для пацієнтів в ургентному стані процедури на ангіографі є безоплатними, а запрацювати він має через три місяці.
Як повідомляв Житомир.info, на позачерговій сесії міської ради 23 травня 2024 року КП «Лікарня №2 ім. В.П. Павлусенка» дозволили взяти кредит на придбання нового ангіографа та реконструкцію приміщення, де буде встановлено обладнання: сума цільового кредиту не перевищує 57 млн грн, 10 мільйонів на перший внесок виділили з міського бюджету.
24 червня лікарня №2 оголосила тендер на реконструкцію 1-го поверху будівлі хірургічного корпусу з придбанням та встановленням ангіографа з очікуваною вартістю 57 млн 443 тис. 232 грн. Єдиним учасником і переможцем стала ПРБФ «Комунальник» з пропозицією 57 млн 134 тис. 137 грн – на 309 тисяч менше стартової ціни. Тендерна документація передбачає придбання устаткування – системи ангіографічної інтервенційної (в конфігурації з системою візуалізації на базі кольорового 58’ монітору високого розрізнення – монопланова ангіографічна система преміального класу для проведення повної ангіографічної діагностики та інвазивного лікування пацієнтів в розширеній комплектації для інтервенційної кардіології, нейроангіографії та загальної ангіографії).




















