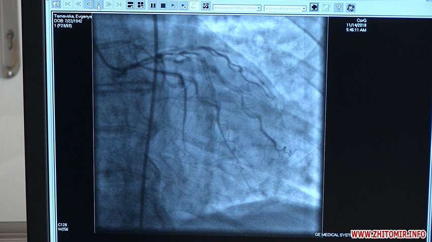
У Житомирській обласній клінічній лікарні імені Олександра Гербачевського 14 червня презентували відремонтовану операційну з новим ангіографом. Відтепер у лікарні працюватиме два таких апарати, що допомагають розпізнавати та реагувати на зміни в судинах та тканинах організму.
«Це дороговартісне і високотехнологічне обладнання і, найголовніше, що ми отримали те обладнання, яке хотіли та просили, щоб надавати допомогу не тільки пацієнтам з патологією серця, а й по інших системах і органах. Завдяки цьому апарату ми збільшуємо кількість пацієнтів, яких ми можемо пролікувати від інфаркту міокарду. Цей апарат дає можливість лікувати не тільки судини серця, а й головного мозку. Наступний напрямок - електрофізіологічна лабораторія, їх в Україні всього дві чи три. Це надзвичайно технологічний метод лікування пацієнтів, які мають порушення серцевого ритму. Також лікування доброякісних та злоякісних пухлин, стентування судин, в основному, нижніх кінцівок», - розповідає головний лікар обласної клінічної лікарні ім. Гербачевського Богдан Леськів.
Обладнання японського виробництва придбали за кошти державного, обласного та місцевих бюджетів у 2018 році.
«Це вже другий ангіограф, який є в нашій області, куплений так само для обласної лікарні. Загальна вартість цього ангіографа - 25 млн 300 тис. грн. Держава виділила 11 млн 300 тис, 7 млн 300 тис. виділили з обласного бюджету, також долучилися усі ОТГ та міста Житомирської області», - говорить голова Житомирської ОДА Ігор Гундич.
Ангіограф ще проходитиме тестування, а обстежувати на ньому пацієнтів почнуть через два-три тижні.
Паралельно ГУНП в Житомирській області розслідує справу про заволодіння бюджетними коштами при купівлі цього апарату для обласної лікарні. Поліція обвинувачує посадових осіб закладів охорони здоров'я у завищенні ціни на обладнання.
Голова Житомирської ОДА Ігор Гундич прокоментував розслідування. Він вважає, що ніяких порушень при закупівлі апарату не було.
«У кожного своя робота, я просто коментую, хтось робить роботу, тягне воза, робить все для того, щоб надавати вчасно і якісно медичну послугу, а чиясь робота – відслідковувати, чи не було порушень при закупівлі. Для цього є правоохоронні органи, суди. Якщо в судах буде доведено, що були порушення, немає питань. Але я вважаю, що порушень не було, тендер був проведений, проведений згідно закону, і, якщо поліція має іншу думку, то вона має це доводити в судах», - каже Ігор Гундич.
Як повідомляв Житомир.info, в січні 2019 року прес-служба ОДА інформувала, що ремонт приміщення в обласній лікарні, де буде встановлений ангіограф, ще триває. На початку лютого обласна рада звітувала, що ангіограф, придбаний за кошти державного, обласного та місцевих бюджетів, має запрацювати в оновленому приміщенні вже на початку весни. Станом на 23 квітня роботи по облаштуванню приміщення все ще тривали.




















